Animal Medical Center Copperas Cove

Tearing the Canine Cruciate Ligament is Painful
Clinical signs of a torn cruciate include stiffness and lameness, especially following normal physical activity. A complete tear of the ligament can result in non-weight-bearing to weight-bearing lameness.
Dr. Kahil has been performing TPLO surgeries for over 20 years, and if your canine companion tears their cranial cruciate ligament, our veterinarians will recommend surgery to repair it as it is unusual that the lameness will resolve without surgery.
Details of TPLO Surgery
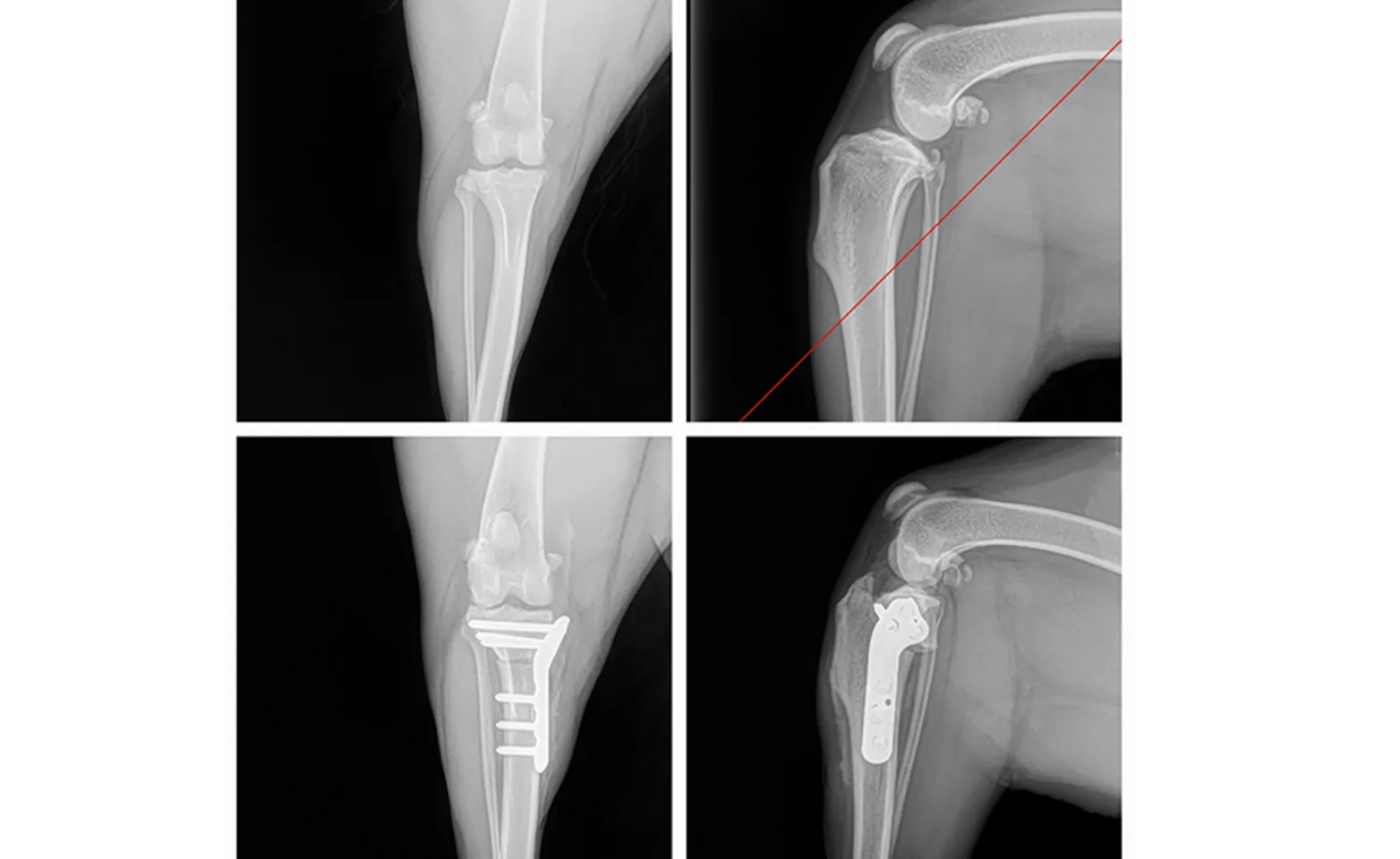
The TPLO (Tibial Plateau Levelling Osteotomy) is done to stabilize the knee joint after a cranial cruciate ligament tear. The procedure changes the geometry of the joint to stabilize the joint during weight bearing by switching the primary joint stability from the damaged cranial cruciate ligament to the patellar tendon and the cauda cruciate ligament.
During the procedure, the knee is opened to evaluate and treat the damaged structures within the joint. Damaged portions of the cranial cruciate ligament are removed, menisci are treated as needed, and osteophytes or bone spurs are removed to allow normal joint movement.
The joint is then closed and the tibial plateau is cut with a circular saw and then rotated to approximately 6 degrees, a small pin is placed to allow testing. If stability, range of motion, and alignment are normal, a bone plate is contoured and screwed to the bone for stabilization. Post-op radiographs are then taken to assess the tibial plateau slope. The limb is then bandaged and ice is applied during recovery to help minimize pain and swelling.

Prior to your pet coming home, you should determine where you are going to confine your dog during this post-operative period. Making your dog as comfortable as possible is as important as having a good rehabilitation plan. As your dog’s mobility is to be restricted, we recommend that you utilize the following:
A dog crate that is large enough that he/she can stand up and turn around
A gated-off area such as the kitchen or bathroom
Confinement to a room
Surfaces like hardwood floors, tile, and linoleum can be very slippery. We suggest that you place some throw rugs with rubber backing or yoga mats on these surfaces to make it easier for your dog to walk around.
Recovering and the return to normal function requires two phases: bone healing and soft tissue remolding, in which the patella tendon and caudal cruciate ligament thicken. Healing of the bone should be complete in 6-8 weeks.
During this time, activity should be confined to leash walking to prevent complications such as fluid accumulation under the skin, screw loosening, breakage, or fibular fracture. Bone healing is assessed with radiographs taken at 8 weeks.
Rehabilitation
Days 1-10 Post-Operatively
Give pain medications as needed.
Ice therapy (towel-wrapped frozen pea bag) apply for 10-15 minutes 2-3 times a day for the first 3 days.
Walk on leash only – avoid surfaces.
Passive range of motion- gently flex and extend the knee while the pet is laying down for 5-10 minutes.
Weeks 2-8
Leash walking only. 5-10 minute walks as the patient will tolerate without experiencing lameness. It is better to increase the frequency of walks rather than increase the duration past 10 minutes. Swimming should be avoided during this period as tends to aggravate the patellar tendon.
Weeks 8-12
Gradually increase the length of walks
Gradually begin changing the type of footing such as pavement, then grass, then tall grass. Start with level surfaces, then graduate to low incline, then higher incline, and eventually stairs can be utilized. Swimming is now allowed- gradually in duration and frequency.
If a change is made that causes and increase in lameness or discomfort, the activity level should be reduced back to the previous level and gradually increase again, but more slowly, after lameness subsides.
Weeks 13+
Activities specific to your pet’s performance such as retriever training can be introduced gradually. For example- retrieving should start with single, short retrieves on form footing. Then progress to include swimming and longer retrieves and gradually increase difficulty. Again, if a particular activity causes lameness, the level should be reduced until pain subsides and then more slowly introduced until tolerated.
